HTK新闻网
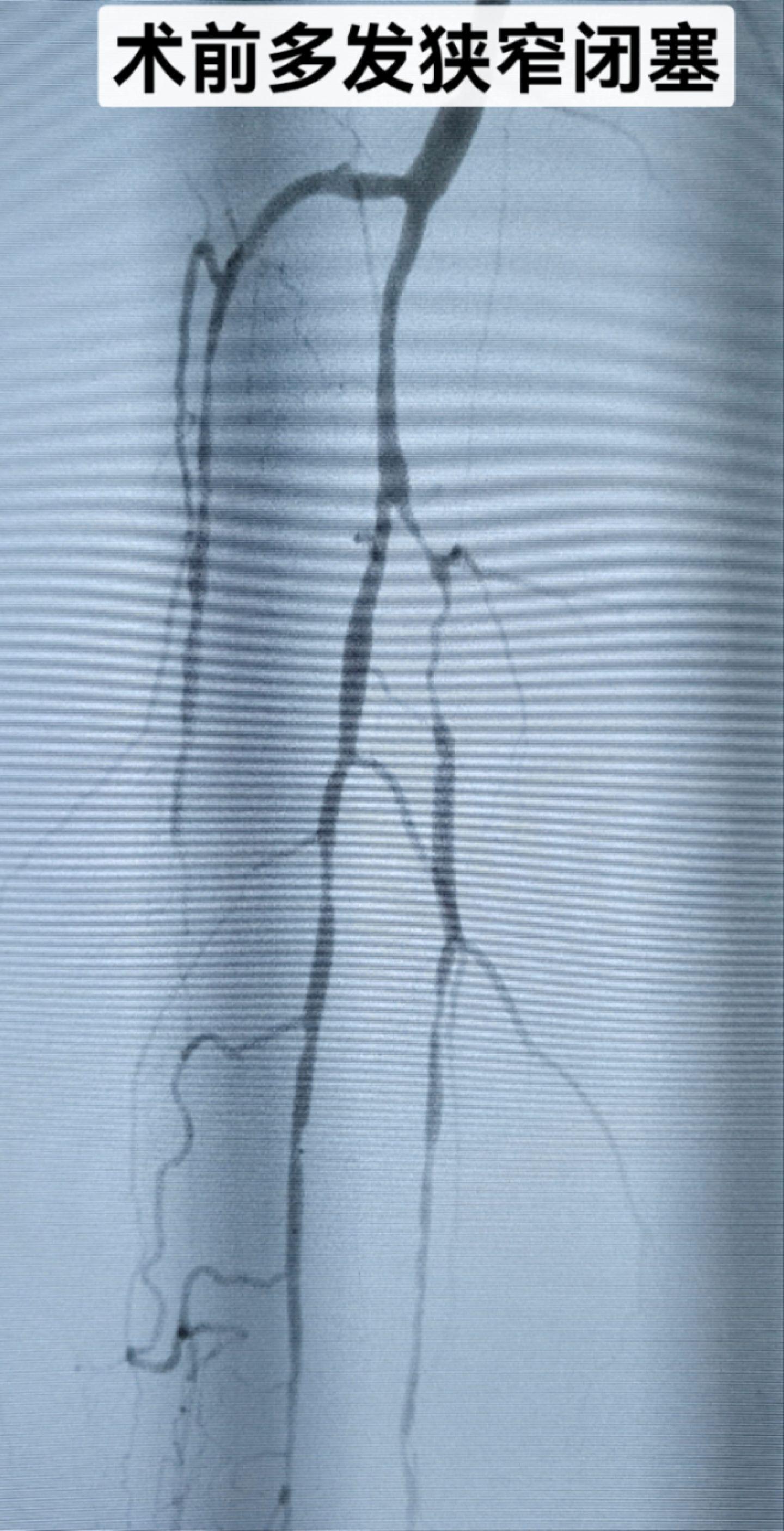
糖尿病足,反复下肢溃疡,膝下三条血管全部开通,保证血流,促进创面愈合
雪枫评健康
2024-06-24 22:45:54
0
阅读:0
雪枫评健康
感谢大家的关注
作者最新文章
1
全面合作 未来可期!瑞安市人民医院挂牌“浙大二院瑞安协作医院”
2
瑞医泛血管疾病门诊9月开诊了[庆祝] 这里将集结瑞医优势科室,打造一站...
3
我志愿献身人类的健康事业;自觉维护医学的尊严和神圣;敬佑生命,救死扶伤...
4
顺利通过人生中最后一场医学类考试
5
完成本中心第四个下肢静脉曲张静脉胶GCP项目入组,共入组40例,四个项...
6
他,是孩子的父亲 他,还有年迈的父母 他,还有爱他的妻子 他,口碑很好...
7
肠系膜上动脉栓塞,会导致肠缺血坏死危及生命,急诊介入开通挽救
8
糖尿病足,反复下肢溃疡,膝下三条血管全部开通,保证血流,促进创面愈合
9
男生们,还敢吸烟吗?
10
肺癌介入治疗研讨会
热门分类
推荐
热榜
军事
NBA
体育
社会
明星八卦
娱乐
财经
科技
汽车
历史
国际
游戏
动漫
公益
搞笑
商业
互联网
数码
国际足球
房产
家居
时尚
科学探索
职场
育儿
股票
教育
影视
情感
热点
中国军情
武器
中国南海
中国足球
亚洲杯
科比
综合体育
CBA
投资
大咖秀
外汇
创业
风口
SUV
豪车
概念车
优惠
新能源
美国
欧洲
朝日韩
俄罗斯
孕期
街拍
婚姻
正能量