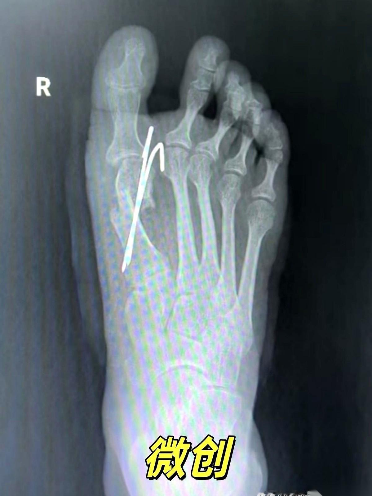
我跟你说,最狠的营销,就是把一个明明需要“伤筋动骨一百天”的事儿,包装成“随做随走”的下午茶。 拇外翻手术就是个典型的例子。 广告里,美女穿着高跟鞋,优雅地走出诊所,好像只是去修了个指甲。 但现实呢?现实是骨头被截断了,是真刀真枪地在你脚上动了刀子。 然后有人信了,真的去了。术后疼得龇牙咧嘴,脚肿得跟个馒头似的,跑去问医生。 医生云淡风轻一句:“挺好的,正常恢复。” 正常个鬼啊。 骨头断了,你拿什么固定?就靠外面绑个绷带? 这就好比房子的大梁歪了,你不用钢筋水泥去加固,反而在墙上贴了个“请勿靠近”的条子,指望它自己长结实? 做梦呢。 “不打钉”听起来好像多高级,多微创。 说白了,很多时候就是省事儿,但风险全留给了你。 骨头长歪了,畸形复发了,甚至得二次手术再遭一遍罪,这些广告里会说吗? 所以啊,别再被那些“不打钉、随做随走”的漂亮话给忽悠了。 下次你再咨询,就直接问那个最根本的问题: “医生,我这截断的骨头,您打算怎么让它稳稳当当地长好?” 看他怎么回答。 身体是自己的,不是试验田。任何手术,都得尊重最基本的生理规律。 捷径的尽头,往往是更远的路。



